|
Главная страница » ХИРУРГИЯ » Пищевод Барретта
Пищевод Барретта
Симптомы заболевания
ХИРУРГИЯ - EURODOCTOR.ru
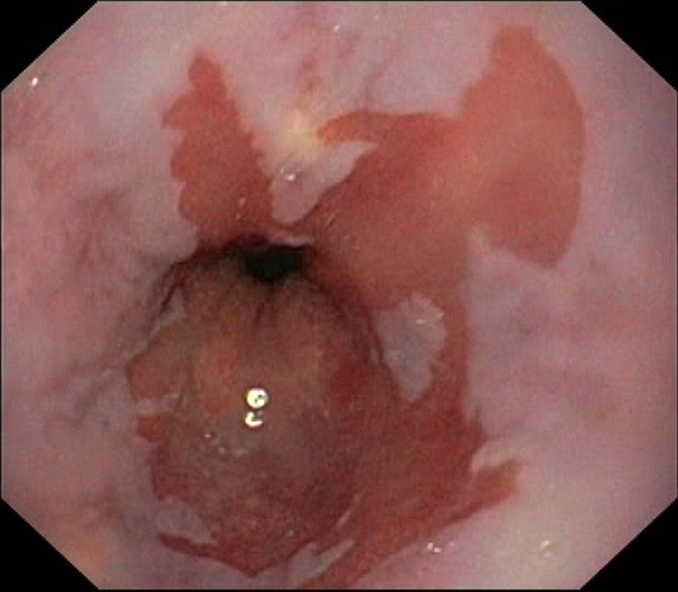
Пищевод Барретта - развитие осложнения ГЭРБ, при котором в эпителиальной выстилке слизистой оболочки пищевода обнаруживается нехарактерный для нормы цилиндрический эпителий вместо плоского многослойного.
Пищевод Барретта опасен своим переходом в дисплазию и рак. Заболевание протекает бессимптомно и, как правило, диагностируется случайно во время проведения гастроскопии.

После подтверждения диагноза пищевод Барретта пациентам необходимо каждый год проводить обследование для контроля состояния.
Степени проявления диспластических изменений:
-
слабая;
-
тяжелая;
-
дисплазия.
Некоторые признаки пищевода Барретта:
-
частая и долгая изжога;
-
проблема с глотанием;
-
рвота с кровью;
-
боль под ложечкой (в месте соединения пищевода с желудком).
В качестве диагностических методов выполняется:
-
Скрининг
-
Эзофагоскопия с хромоскопией, ZOOM и прицельной биопсией (обработка Ацетилцистеином, окрашивание метиленовым синим, далее с окраской метаплазированного участка в синий цвет, с последующей прицельной биопсией).
-
Рентгенологическое исследование
-
Биопсия
-
Манометрия пищевода.
Уже доказана связь между наличием метаплазированного эпителия пищевода и развитием рака кардиоэзофагеальной зоны, а также аденокарциномы нижней трети пищевода - тяжелого заболевания, которое диагностируется на поздних стадиях, прогноз составляет 20% при пятилетней выживаемости.
ОБСЛЕДОВАНИЕ и ЛЕЧЕНИЕ в ГЕРМАНИИ – институт "DIAGNOSTIX"
ichilov.net - ЛЕЧЕНИЕ в ИЗРАИЛЕ без ПОСРЕДНИКОВ - МЕДИЦИНСКИЙ ЦЕНТР ИХИЛОВ в ТЕЛЬ-АВИВЕ
ПОМОЩЬ в ОРГАНИЗАЦИИ ЛЕЧЕНИЯ - 8 (495) 66 44 315
+7 (925) 66-44-315 - бесплатная консультация по лечению в Москве и за рубежом
ОФОРМИТЬ ЗАЯВКУ на ЛЕЧЕНИЕ
|